

「入れ歯に違和感があって、
普段つけていられない…」
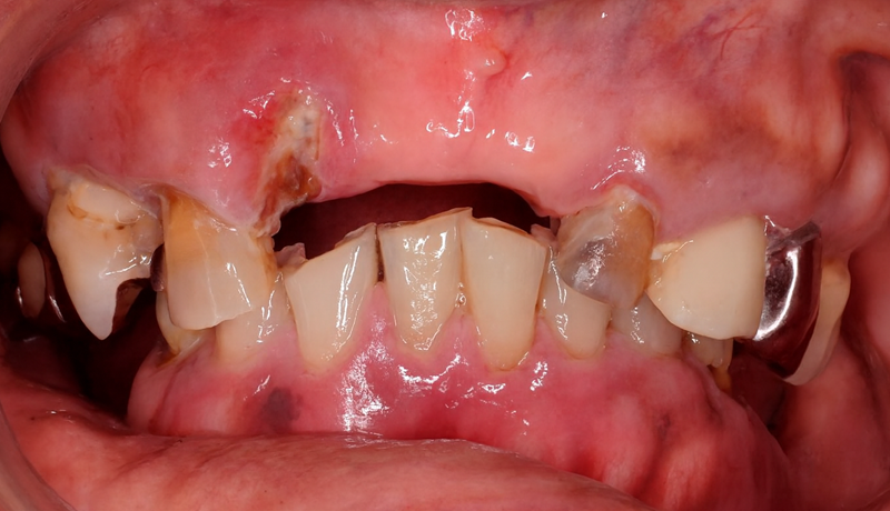
そう感じている方も多いかもしれません。しかし、入れ歯を外したままの生活は、実は大きなリスクを伴います。
入れ歯を入れていないと、噛み合っていた反対側の歯が伸びてきたり、ズレてきたりして、最終的には健康な歯まで抜けてしまうこともあります。
では、なぜ入れ歯に違和感が出るのでしょうか?
その大きな原因の一つが、「保険の入れ歯」の構造的な制限にあります。
保険診療の入れ歯は、限られた材料・工程で製作されるため、最低限の形・機能にとどまりがちです。
その結果、「入れ歯がしっくりこない」「何度調整しても違和感がある…」と感じる方が少なくありません。
自由診療入れ歯という選択肢も
保険のルールに縛られず、
最適な材料と技術で作る
オーダーメイドの“精密入れ歯”


保険の制約にとらわれない
自由な設計
保険診療では素材や設計に制限があり、患者さん一人ひとりに合わせた細かな調整は難しいのが現状です。
自由診療では、治療の進め方から材料の選択、設計まで柔軟に対応できるため、「自然な見た目」や「心地よいフィット感」、「しっかり噛める快適さ」など、より高いレベルで実現できます。
自分に合った入れ歯を求める方にとって、大きなメリットといえます。


オーダーメイドだから叶う
あなた専用の高精度な入れ歯
お口の状態や噛み合わせ、ライフスタイル、ご要望まで丁寧にヒアリングし、一人ひとりに合わせた「あなた専用」の精密な入れ歯をミクロン単位で設計・製作します。
保険診療では使えない高性能な素材や先進的な設計技術を活用することで、「合わない」「外れやすい」「しっかり噛めない」といったお悩みを根本から改善し、自然な見た目と快適な装着感を両立できます。


時間を惜しまない
丁寧で妥協のない治療
自由診療だからこそ、時間や工程に制限されることなく、一人ひとりに合わせた細やかで徹底した治療が可能です。
型取りから微調整、完成後のフォローまで、すべての工程を丁寧に進めることで「しっかり噛める」「快適に使える」入れ歯を追求します。
「入れ歯に不安がある」「納得してから治療を進めたい」という方も、じっくりと相談しながら、納得いくまで寄り添ってサポートします。
初めての方も安心してご相談ください。


経験豊富な技工士と共に仕上げる
信頼の高品質入れ歯
精密入れ歯の仕上がりを左右する大きな鍵は、技工士の高度な技術と繊細な感性にあります。片岡歯科医院では、長年の経験と高い専門性を持ち、精密義歯に特化したトップレベルの技工士のみと提携しています。
選ばれた技工士は、審美性や噛み心地、装着感に至るまで徹底的にこだわり、一人ひとりに合った自然で美しい入れ歯を形にします。
また、治療計画から完成まで密にコミュニケーションを取りながら共同で作り上げるため、見た目・機能性・快適性のすべてにおいて妥協のない品質を実現しています。
Types and Costs入れ歯の種類と費用
総義歯


すべての歯を失った方にとって、総義歯は暮らしの質を取り戻す大切な選択肢です。
片岡歯科医院では、見た目も使い心地も妥協しない精密な総義歯を提供しています。噛み合わせやお口の筋肉の動きに合わせて仮入れ歯(治療用試作義歯)を用いながら段階的に最終義歯を設計することで、快適な装着感と高い機能性を両立します。
素材にはレジン(樹脂)や金属を使用し、見た目・強度・熱の伝わりやすさなど、目的やご要望に応じたカスタマイズが可能です。
| 総義歯 | 550,000円 |
|---|
※全て税込表示
メリット
- 保険の入れ歯に比べてしっかり噛めるため、硬い食材も楽しめる
- ズレにくく安定するので、会話や笑顔にも自信が持てる
- 素材や設計を自由に選択でき、個々のお口に合わせたオーダーメイドが可能
・食べ物の味や温度を感じやすく、食事の満足度が大きく向上する
デメリット
- 保険診療と比べると費用の負担が大きくなる
- 精密な設計や調整を行うため、治療完了までに時間がかかる場合がある
リスク・副作用
- 金属を使用する場合、金属アレルギーを引き起こす可能性がある
- 完成後も快適に使うために、慣れるまで複数回の微調整が必要になることがある
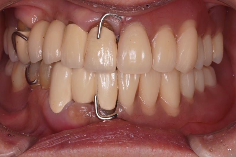
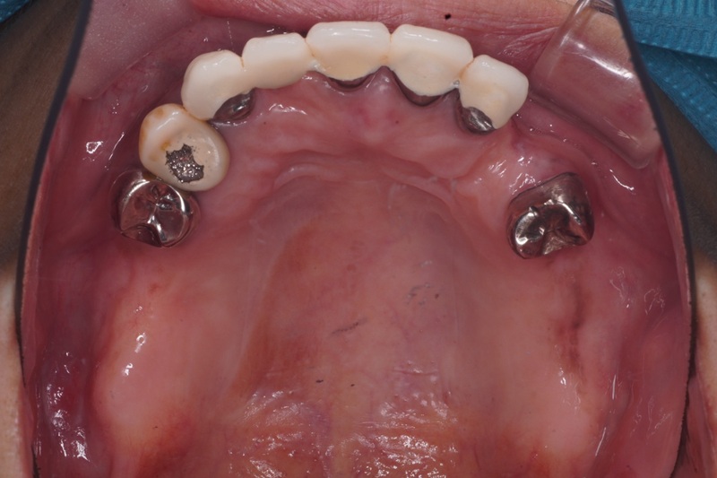
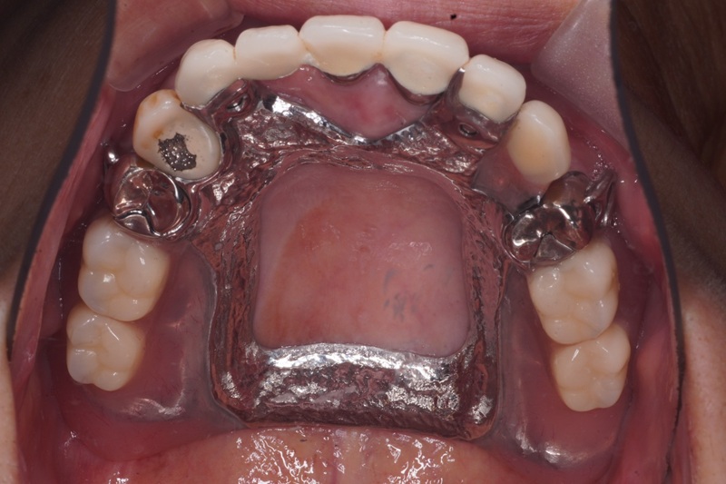
部分床義歯


歯を失ったままにせず、健康を保つための大切な選択肢が部分床義歯です。
部分床義歯は、一部の歯が抜けた部分を補う入れ歯治療で、残った歯とのバランスを考えながら、しっかり噛める機能性と自然な見た目を両立できるよう設計されます。
目立ちにくい金具の工夫や、床部分にシリコンなど快適な素材を用いることで、審美性と快適な使用感を高めています。
| 部分床義歯 | 440,000円 |
|---|
※全て税込表示
メリット
- しっかり噛めるので、食事をより楽しめる
- ズレにくく安定感があり、会話や笑顔に自信が持てる
- 金属の留め具(クラスプ)を目立ちにくくでき、自然な見た目を実現
- 設計や素材、形状など細部まで希望に合わせてオーダーメイドが可能
デメリット
- 保険診療の入れ歯に比べると費用負担が大きくなる
- 精密に作り上げるため、完成までに時間がかかる場合がある
リスク・副作用
- 金属を使用する場合、金属アレルギーのリスクがある(事前に検査や確認が可能です)
- 強い力や誤った使い方により、破損する可能性がある
- 装着後すぐに快適に使えるとは限らず、慣れるまでに何度か調整が必要になることがある
インプラント義歯


インプラント義歯は、顎の骨に埋め込んだインプラントを土台にして入れ歯をしっかり固定する治療法です。
「ズレやすい」「噛みにくい」「話しにくい」といった従来の入れ歯の悩みを大幅に改善し、安定性と快適さを高めます。
入れ歯であることを忘れるような自然な噛み心地と安心感が得られ、食事や会話をもっと楽しめるようになります。
| インプラント義歯 | 880,000円 |
|---|
※全て税込表示
メリット
- インプラントでしっかり固定されるため、ズレにくく安定して噛める
- ワイヤーが不要になることで見た目が自然になり、会話や食事の際も気にならない
- 固定式の場合は取り外しの手間が減り、日常のお手入れも簡単
デメリット
-
保険診療の入れ歯と比べると、自由診療のため費用負担が大きい
-
外科手術が必要で、全身の健康状態によっては治療が難しい場合がある
-
骨の状態によっては、骨造成などの追加処置が必要になることがある
リスク・副作用
- 手術後に腫れや痛み、内出血
(多くは数日で落ち着きます) - インプラント周囲に炎症が起こる「インプラント周囲炎」のリスクがあり
(日々の丁寧なケアと定期的なメンテナンスが欠かせません) - 良い状態を長く保つためには、患者さん自身のセルフケアも重要
Paymentお支払い方法
![]()
銀行振込・現金
お振込みまたは現金でのお支払いとなります。
![]()
クレジットカード
VISA・JCB・Mastercardなど
各種クレジットカードに対応します。
※自費診療のみ
![]()
デンタルローン
現在準備中のため、まだご利用いただけません。
低金利の分割払いでの
お支払いとなります。
支払い回数はご相談ください。
医療費控除について
医療費控除とは、1月1日~12月31日の1年間で支払った医療費の合計が10万円を超えた場合に、一定の所得控除が受けられる制度です。医療費控除における医療費とは、ご自身だけでなく、生計を共にするご家族が支払った医療費を合算したものです。詳しくは、下記の国税庁のホームページをご確認ください。
Flow治療の流れ


01
初診カウンセリング(無料)
まずはお電話またはメールでご予約のうえ、ご来院ください。
お悩みやご希望をじっくりお伺いし、不安や疑問があればわかりやすく丁寧にお答えします。
おおよそ費用や治療期間についても、初回からできる限り詳しくご説明しますので、安心してご相談いただけます。


02
精密検査で分析
型取りをもとに模型を作製したり、レントゲン検査を行うなどして、お口の中の状態を詳しく調べます。もちろん、残っている歯の虫歯の検査、歯周病の検査なども行います。


03
治療方針のご提案
検査結果と患者さまのご希望をもとに、最適な治療プランをご提案します。
費用・期間・素材の違いなどもわかりやすくご説明し、十分にご納得いただいてから治療を進めます。


04
仮入れ歯を使ってリハビリ
場合によっては、仮入れ歯を実際にご使用いただきます。正しい噛み合わせの感覚を再習得したり、頬・唇・舌・粘膜を正常な状態に戻すためのリハビリテーションの期間となります。


05
嚙み合わせの調整
仮入れ歯の状態、使用感、患者さまのご希望をもとに、最終的な入れ歯の噛み合わせを調整します。


06
入れ歯のオーダーメイド作製
最終的な、オーダーメイドの入れ歯の作製に取り掛かります。完成するまでは、仮入れ歯をご使用いただきます。


07
完成入れ歯の調整
完成した入れ歯を装着してただき、その場で調整します。またその後も通院していただきながら、患者さまにご納得いただくまで、繰り返し調整を行います。
Case症例紹介




天然の歯のような
見た目と使い心地を追求
入れ歯を初めて作る方の多くが、「入れ歯だと気づかれたくない」と不安を感じています。片岡歯科医院では、見た目が自然で目立ちにくく、まるでご自身の歯のように仕上がる入れ歯をご提供しています。見た目の美しさだけでなく、「よく噛める」「違和感が少ない」「長く使える」といった機能性・耐久性にもこだわっています。今の入れ歯が合わない、うまく噛めないとお悩みの方も、まずはお気軽にご相談ください。


日本とアメリカ、
両方の専門知識を活かした治療
当院の代表は、アメリカ・テキサス大学の補綴専門医プログラムを修了しております。日本と海外、両方の先進的な補綴(ほてつ)治療の知識と技術を融合させ、科学的根拠に基づいた質の高い入れ歯治療をご提供しています。見た目の美しさや快適さはもちろん、長期間にわたって安定して使える機能性も大切にしています。


精密な入れ歯を、歯科医と技工士の
チームでご提供
アメリカでは歯科医師と歯科技工士が密に連携するチーム医療が根付いており、当院でもその体制を取り入れています。代表自ら10名以上の技工士のスキルを確認し、基準を満たした技工士にのみ製作を依頼しています。さらに、0.01mm単位の精度を追求するデジタル技術と、職人の手仕事を組み合わせることで、違和感の少ない精密な入れ歯をご提供しています。


審美性に優れた、
目立ちにくい入れ歯をご提案
当院では、見た目に配慮したノンクラスプデンチャーやテレスコープ義歯など、金属のバネが見えにくい入れ歯もご提案しています。
自然な口元を再現できるよう、歯の色や形にもこだわり、患者様お一人おひとりに合わせて丁寧に作製いたします。「入れ歯と気づかれたくない」「見た目に違和感がないものがいい」という方も、安心です。


お身体にやさしい素材で、
安心の入れ歯づくり
入れ歯の素材が体質に合わないと、だるさや不調の原因になることがあります。当院では、アレルギーや体質に配慮し、できるだけ身体に負担の少ない材料を選んで使用しています。金属アレルギーの方には、金属を使わない「メタルフリー」の入れ歯もご提案しています。
Recommended for精密入れ歯がおすすめの方


Symptoms
こんな
お悩みがある方
- 歯を失って噛みにくくなった
- 食事が楽しめない、話しづらい
- 顎の骨が痩せてインプラントが難しいと言われた
- 残っている歯に負担をかけずに治療したい


Lifestyle
手術や通院が
不安な方
- 手術をせずに治療を進めたい
- 高齢のため体への負担が少ない治療を希望している
- 将来的な歯の変化に対応できる治療が良い
- 通院回数をなるべく抑えたい


Preferences
自分に合う治療を
じっくり選びたい方
- できるだけ費用を抑えて噛めるようにしたい
- 自分に合った自然な見た目の入れ歯を作りたい
- 修理・調整しやすい治療法を選びたい
- 相談しながらじっくり決めたい


Special Cases
他院で治療が
難しいと言われた方
- 他院で「治療が難しい」と言われた方
- 骨が少なくインプラントを断られた方
- 金属アレルギーなどで限られた選択肢しかない方
Q&Aよくある質問
他院さんで作った入れ歯が合いません。こちらで作り替えや修理は可能ですか?
はい、可能です。
現在お使いの入れ歯が合わない場合、調整・修理・作り替えなど、状態に応じて対応いたします。
ただし、入れ歯の劣化や設計そのものに問題がある場合は、調整では解決できないこともあります。
その際は、作り替えをご提案させていただきます。
自費の入れ歯が完成するまでは、どれくらいかかりますか?
入れ歯の種類にもよりますが、平均で1~2ヶ月程度です。ただ、完成までの期間も仮入れ歯をご使用いただけますので、ご安心ください。仮入れ歯は、1~2週間でお渡しできます。
初めて入れ歯を作ろうと思っていますが、においが心配です。
正しく使用・管理すれば、においの心配はほとんどありません。
入れ歯自体はほぼ無臭です。また、入れ歯を入れているからといって、特別に口臭が強くなるわけではありません。
ただし、汚れがたまると臭いの原因になることもあるため、適切なお手入れが大切です。
入れ歯のお手入れ方法は、教えてもらえますか?
入れ歯を作製する際に、丁寧に指導いたします。理想的なのは、毎食後外して、入れ歯用のブラシで洗うことです。日中の外出などで毎食後が難しい場合も、就寝前の1回は必ず外して磨いてください。歯磨き粉は不要です。特に研磨剤入りのものは、入れ歯を傷つけてしまうため、使用しないでください。
入れ歯は、寝る時は外した方がよいのでしょうか?
基本的に、装着したままお休みなることをおすすめしています。ただし、合わない入れ歯をつけたまま寝ると、歯茎や顎の骨に不正な力がかかってしまうため、注意が必要です。定期的に歯科医院で調整してもらい、破損した場合は修理や作り替えを行いましょう。
入れ歯を作る時、抜歯は必要ですか?
その歯が近い将来駄目になってしまうことが確実な場合、数本の歯が残っているけれど総入れ歯をご希望する場合など、抜歯を行うことがあります。ただしその場合も、事前に患者さまにご確認をとります。理由もよく分からないまま・納得しないまま抜歯を行うことはありませんので、ご安心ください。
まだ歯が残っていますが、総入れ歯を作る場合は、すぐに抜かなければなりませんか?
入れ歯は、まず型取りをして、模型を作り、その歯並びや噛み合わせを確認した上で作製します。抜歯をしていない状態でも、抜歯を想定して総入れ歯を作ることができますので、抜歯は総入れ歯が完成してからで構いません。
保険で入れ歯を作る場合の費用の目安を教えてください。
3割負担の方で、部分入れ歯であれば5,000~15,000円、総入れ歯で15,000円前後が目安となります。材料や工程に制限があるので、自費の入れ歯のように審美性・機能性をとことん追求することはできませんが、1つひとつ丁寧にお作りしますので、ご安心ください。
Greetingご挨拶


Greetingご挨拶
健康と共に、
笑顔と明るい毎日を
取り戻せる入れ歯治療
歯科医療は日々進歩しており、入れ歯治療も大きく変わってきています。
当院では、歯科先進国アメリカで学んだ知識と技術を基に、最新情報を取り入れながら、一人ひとりに最適な入れ歯をご提案しています。
「きれい」「しっかり噛める」ことはもちろん、その状態が長く続くことを大切に、審美性・機能性にこだわった自費の入れ歯治療も行っています。
健康と笑顔を取り戻す一歩として、どうぞお気軽にご相談ください。


略歴
- 2013年朝日大学 歯学部 卒業
- 2013年愛知学院大学 歯科医師臨床研修 修了
- 2014年〜
2018年豊田市・永覚歯科にて勤務医として勤務 - 2018年米国テキサス大学サンアントニオ校
補綴科 プリセプタープログラム受講 - 2023年米国テキサス大学サンアントニオ校
補綴専門医プログラム・修士課程 修了 - 2024年〜愛知県 片岡歯科医院 勤務
- 2024年〜朝日大学 非常勤助教授
所属団体・資格
- 片岡歯科医院 代表歯科医師
- 米国補綴専門医/米国修士課程修了
- Prosthverse(オンライン補綴コミュニティ)代表
- 合同会社Oral Transformation 代表取締役/理事
- 朝日大学 非常勤講師
- Lone Stars Project(NPO法人) Board Member
- ITIメンバー/アメリカ補綴学会(ACP)会員

























