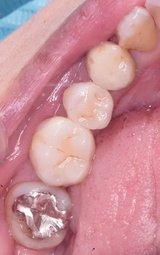
セラミックの症例
Case01
Before

After

| 治療内容 | セラミック修復 (Emax Onlay) |
|---|---|
| 治療説明 | 大きな金属の詰め物を取り除き、虫歯や劣化した部分を清掃・形成した後、【Emax(リチウムディシリケート)素材のセラミックで部分的な被せ物(オンレー)】を製作・接着した症例です。Emaxは審美性に優れ、天然歯に近い色調と滑らかさが得られます。 |
| 治療回数・期間 | 約2回 (初回形成+型取り/2回目セット) |
| 副作用とリスク | ・Emaxは非常に審美的で滑沢性が高い一方で、金属やジルコニアに比べて破折リスクがあります。 特に咬合力が強い方や歯ぎしりのある方には慎重な設計が必要です。 ・治療後に軽度のしみや違和感を感じることがありますが、通常は一過性です。 ・適切なセルフケアと定期的なチェックが必要です。 |
| 料金(税込) | 84,700円(税込) |
| 適応 | 中等度の欠損に有効/咬合圧や残存歯質によっては不適応となることもあります。 |
Case02
Before

After

| 治療内容 | セラミック修復 (Emax Onlay) |
|---|---|
| 治療説明 | 虫歯でかけていた歯を、見た目と機能の両方を考慮してセラミック(Emax)で修復しました。 天然歯に近い自然な色調と透明感があり、見た目が美しいのはもちろん、歯としっかり接着することで長期的な安定性も期待できます。 |
| 治療回数・期間 | 2回・2週間 |
| 副作用とリスク | ・金属やジルコニアと比べて強い衝撃で破折する可能性があります。 ・強い歯ぎしりや食いしばりのある方は、マウスピースの使用を推奨する場合があります。 ・治療後に一時的な知覚過敏が起こることがあります。 ・むし歯や歯周病の再発を防ぐため、定期的なメインテナンスが重要です。 |
| 料金(税込) | 84,700円(税込) |
Case03
Before

After

| 治療内容 | 上顎全抜歯+即時義歯/下顎セラミックブリッジ・クラウン ・上顎:全顎抜歯 → 即時総義歯(仮義歯) → 最終総義歯 ・下顎:ジルコニアブリッジ+ジルコニアクラウンによる補綴修復 ・治療設計と製作にデジタル技術を使用 |
|---|---|
| 治療説明 | 上顎は重度の歯周病などにより、全顎的な抜歯が必要となったため、事前にデジタルで歯列を再構築し、抜歯当日に即時義歯(仮義歯)を装着しました。これにより、見た目と機能をすぐに回復でき、社会生活を保ったまま治療を進めることが可能となります。 下顎は、咬合・審美の再構築を目的に、ジルコニア製のブリッジおよびクラウンを用いた補綴治療を実施しました。強度・耐久性・審美性を兼ね備えた材料により、自然な口元としっかり噛める機能を再現しています。 |
| 治療回数・期間 | 20回・半年 |
| 副作用とリスク | ・抜歯後に一時的な腫れ・痛み・出血・内出血が生じることがあります ・義歯には慣れるまでの違和感・痛み・発音障害が出る場合があります ・ジルコニアは非常に強度の高い材料ですが、過度な咬合力や歯ぎしりがある場合は補綴物の破損リスクがあるため、マウスピースの併用が推奨されることがあります ・義歯・補綴物の清掃状態が悪いと、歯周病や二次虫歯のリスクが高くなります |
| 料金(税込) | 1,862,000円(税込) (治療全体の総額) |
Case04
Before

After

| 治療内容 | ジルコニアクラウン (強度・機能性重視) |
|---|---|
| 治療説明 | 奥歯(第一大臼歯)は咀嚼時に大きな力がかかるため、耐久性に優れたフルジルコニアクラウンを選択しました。さらに、ジルコニア特有のやや劣る透明度を活かし、虫歯予防のために歯面に塗布されていた黒色の薬剤(例:フッ化ジアミン銀)を上手にカバーすることで、より自然で美しい見た目を実現しています。 |
| 治療回数・期間 | 約2週間 通院回数:2回 |
| 副作用とリスク | ・強度が高いため、対合歯の摩耗や歯根への負担がかかることがあります。 ・審美性はやや劣るため、前歯などの見た目を重視する部位には不向きな場合があります。 ・装着後に咬合調整や違和感への適応が必要となることがあります。 |
| 料金(税込) | 145,200円(税込) |
Case05
Before

During

After

| 治療内容 | Emaxオンレーによる銀歯からの美しいセラミック修復 Emaxオンレー(下顎小臼歯・大臼歯 各1本) |
|---|---|
| 治療説明 |
この患者さまは、見た目と将来のむし歯リスクを考え「銀歯をセラミックに変えたい」と来院されました。 |
| 治療回数・期間 | 治療期間:約2週間 通院回数:2回 |
| Emaxオンレーの特徴 |
・歯を大きく削らずに部分的に修復できる低侵襲な治療法 |
| 副作用とリスク | ・咬合力が強い方では、まれに破折の可能性があります ・定期的なチェック・クリーニングが必要です ・経年による接着剤の劣化で、再接着が必要となる場合があります |
| 料金(税込) | 174,800円(税込) ※87,400円(税込)×2本 |
Case06
Before

After

| 治療内容 |
・見た目としっかり噛める機能を両立した治療 |
|---|---|
| 治療説明 |
奥歯の機能回復と見た目の自然さを両立させるため、すべてにジルコニア素材を採用しました。ジルコニアは、白く自然な見た目に加え、長く使える強度と安定感があり、金属を使わない体にやさしい材料です。 |
| 治療回数・期間 | 治療期間:約4~6ヶ月 通院回数:6~9回程度 |
| 副作用とリスク | ・ブリッジの支えとなる歯は削る必要があります。 ・インプラントは手術を伴うため、術後に腫れ・出血・感染のリスクがあります。 ・ジルコニアは非常に硬いため、噛み合わせが強い方にはマウスピースをおすすめする場合があります。 ・長持ちさせるためには、定期的なクリーニングとご自宅でのケアが重要です。 |
| 料金(税込) | 550,000円(税込) ※インプラント治療を含む総額 |
Case07
Before

After

| 治療内容 | ・削る量を最小限に抑えたE.maxクラウン・ベニアによる全顎審美治療 ・E.maxクラウン + E.maxベニア(全顎) 歯を大きく削らずに美しさと機能を両立させるため、必要最小限の部位のみクラウンを使用し、他はE.maxベニアで修復。歯の形・色・配置のバランスを整え、自然な見た目と快適なかみ合わせを実現しました。 |
|---|---|
| 治療説明 | E.maxベニアは歯の表面をわずかに削るだけで装着可能なため、歯の削合量を最小限に抑えたい方に最適な治療法です。 一方で、噛み合わせや強度が求められる部分はE.maxクラウンを使用することで、審美性と機能性を両立しています。 |
| 治療回数・期間 | 治療期間:約7ヶ月 通院回数:約15回 |
| 副作用とリスク | ・歯の表面をわずかに削る必要があります(ベニア) ・かみ合わせや歯ぎしりが強い方は、破損予防のためにナイトガードをおすすめします。 ・維持には定期的なメインテナンスと丁寧なセルフケアが重要です。 |
| 料金(税込) | 2,041,050円(税込) ※治療部位・素材により若干変動する場合があります。 |
Case08
Before

After

| 治療内容 | 強化型セラミックによる低侵襲な虫歯治療(E.maxインレー・オンレー) |
|---|---|
| 治療説明 | この患者さまは、虫歯が比較的小さい段階で発見できたため、歯を大きく削らずに治療できる「E.maxインレー・オンレー」を選択しました。 使用するのは、**審美性・耐久性・生体親和性に優れた強化型セラミック(E.max)**です。 保険の銀歯に比べ、見た目が自然で金属アレルギーの心配もなく、長期的に安定した修復が期待できます。 |
| 治療のポイント | ・歯をできるだけ削らない低侵襲治療 ・科学的に長期予後が良好とされる強化型セラミック(E.max)を使用 ・クラウンよりも削除量が少なく、歯の寿命を延ばす選択肢としても有効です。 |
| 使用材料 | E.max(強化型リチウムディシリケートセラミック) ・天然歯に近い自然な色調 ・奥歯にも対応できる十分な強度 ・金属を使用しない安心素材 ・精密な適合性により、虫歯の再発リスクを低減 |
| 治療回数・期間 | 治療期間:約2週間 通院回数:2回 |
| 副作用とリスク |
・強い食いしばりや歯ぎしりがある場合、マウスピースが必要になることがあります。 |
| 料金(税込) | 262,200円(税込) |
| 担当医より |
「どれだけ歯を残せるか」は、将来の健康に直結します。 |
Case09
Before

After

| 治療内容 | Emaxオンレー(下顎小臼歯) ・Emaxオンレー(1本) |
|---|---|
| 治療説明 | メインテナンス時の定期検診で早期発見された虫歯に対し、最小限の削除量で対応可能なEmaxオンレーを選択。 見た目と機能性の両立を目指した低侵襲治療を行いました。 |
| 治療回数・期間 | 通院回数:約2週間・2回の通院 |
| 治療後の効果 |
・小臼歯の自然な色調に調和した審美的な仕上がり |
| 副作用とリスク | ・咬合力が強い方では、ナイトガードの併用が推奨される場合があります。 ・セメントの劣化や二次虫歯を防ぐために、定期的なメインテナンスが必要です。 |
| 料金(税込) | 84,700円(税込) |
| 担当医より | 「痛くなってからでは遅い」──だからこそ、定期的なメインテナンスでの早期発見が重要です。 今回は虫歯が大きくなる前に見つかったことで、かぶせ物も小さく済み、歯を多く残すことができました。 |
Case10
Before

After

| 治療内容 | ジルコニアクラウンによる自然で強度のある修復治療(1本) |
|---|---|
| 治療説明 | 下顎または上顎の歯に対し、ジルコニアクラウン1本を装着した症例です。 強度・審美性のバランスに優れた素材で、特に奥歯など咀嚼圧のかかる部位に適しています。 |
| 治療回数・期間 | 約2週間/通院2回 |
| 治療のポイント |
ジルコニアは、非常に硬く耐久性に優れたセラミック素材で、 ・自然な見た目(白くて透明感のある色調) など、多くのメリットがあります。 |
| 使用材料 | フルジルコニアクラウン(CAD/CAM加工による高精度な修復) |
| 副作用とリスク |
非常に硬いため、歯ぎしり・食いしばりが強い方は、対合歯(噛み合う歯)にダメージが生じる可能性があります。 |
| 料金(税込) | 132,000円(税込) |
Case11
Before

After

| 治療内容 | 銀歯が外れた後の再治療:E.maxセラミック・オンレーで歯を守る |
|---|---|
| 治療説明 |
以前に装着されていた銀歯が外れて来院された患者さまに対し、歯の残存状態を確認したところ、歯質の保存が可能と判断。 |
| 治療回数・期間 | 約2週間/通院2回 |
| 治療のポイント | ・歯を削る量を最小限に抑えられる低侵襲治療 ・費用もクラウンより抑えられ、経済的 ・金属を使用しないため、金属アレルギーのリスクなし ・天然歯に近い見た目と質感 |
| 使用材料 | E.max(強化型リチウムディシリケートセラミック) |
| 副作用とリスク | ・強い歯ぎしり・食いしばりがある場合は、破損リスクがあるため、マウスピースの併用が推奨されます。 ・装着直後に一時的なしみ・違和感を感じることがあります。(多くは一過性) ・ブラッシング不足や定期的なメインテナンスを怠ると、境目から虫歯が再発するリスクがあります。 ・ごく稀に、過度な咬合力や外力で欠ける可能性があります。 |
| 料金(税込) | 84,700円(税込) |
Case12
Before

After

| 治療内容 | 強度と審美性を兼ね備えたジルコニアブリッジによる再治療 |
|---|---|
| 治療説明 | 以前装着されていた銀歯のブリッジの下に虫歯ができたため、再治療となりました。 見た目と長期的な安定性を重視されていたため、ジルコニア製ブリッジを選択されました。 ジルコニアは耐久性に優れ、金属アレルギーの心配がなく、見た目も白く自然で、長く使える素材です。 |
| 治療のポイント |
・保険の銀歯に比べ審美性が高く、変色や金属アレルギーの心配なし |
| 使用材料 |
フルジルコニア(高強度酸化ジルコニウムセラミック) |
| 治療回数・期間 | 約2週間/通院2回 |
| 副作用とリスク |
・硬い素材であるため、対合歯(噛み合う歯)の摩耗が起こることがあります |
| 料金(税込) | 330,000円(税込) |
Case13
Before

After

| 治療内容 | ジルコニア接着性ブリッジによる低侵襲の欠損補綴治療 |
|---|---|
| 治療説明 | 歯が1本欠けてしまった部位に対して、まるごと削らずに、最小限の処置だけで人工歯を入れる方法として、ジルコニア接着性ブリッジを選択しました。 以前は健康な歯を大きく削る必要がありましたが、接着技術の進歩とジルコニアの強さにより、見た目・噛み心地・長持ちのしやすさを両立した治療が可能になっています。 「できるだけ削らずに治したい」「自然な見た目にしたい」そんなご希望に応える治療法です。 |
| 治療のポイント |
・歯を大きく削らずに治療できるため、身体への負担が少ない |
| 使用材料 |
高強度ジルコニア(接着性ブリッジ用) |
| 治療回数・期間 | 約2週間/通院2回 |
| 副作用とリスク |
・しっかり噛むと外れる可能性がありますが、多くの場合は再度つけ直すことができます。 |
| 料金(税込) | 220,000円(税込) |
Case14
Before

After

| 治療内容 | 繰り返す虫歯への対処:E.maxオンレーでの再治療と生活習慣の見直し |
|---|---|
| 治療説明 |
以前に装着していた銀歯が外れたことをきっかけに来院されました。 小さな治療でも、「再発を防ぐ」ための視点を大切に。 |
| 治療のポイント |
・金属を使用せず、自然で滑らかな見た目のセラミック(E.max)を使用 |
| 使用材料 |
E.max(強化型リチウムディシリケートセラミック) |
| 治療回数・期間 | 約2週間/通院2回 |
| 副作用とリスク |
・強い咬合力や歯ぎしりがある方には、ナイトガードの併用をおすすめすることがあります。 |
| 料金(税込) | 84,700円(税込) |
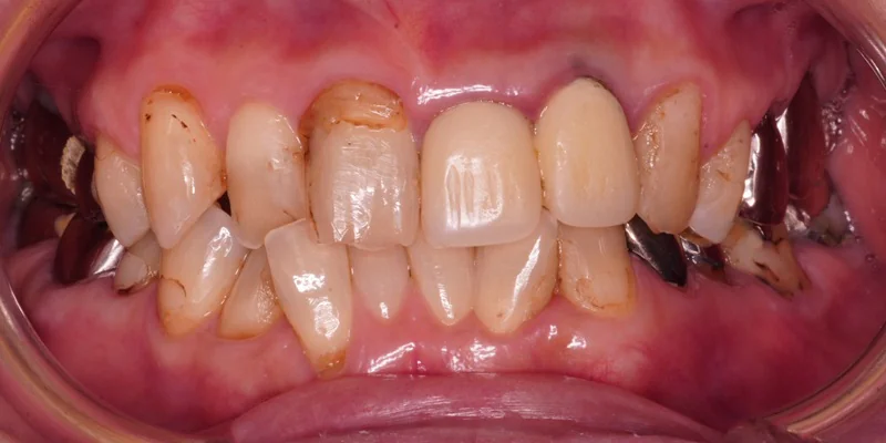
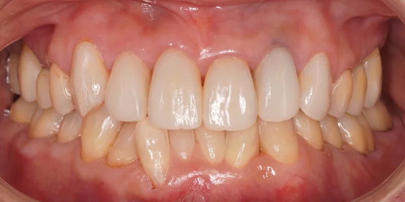
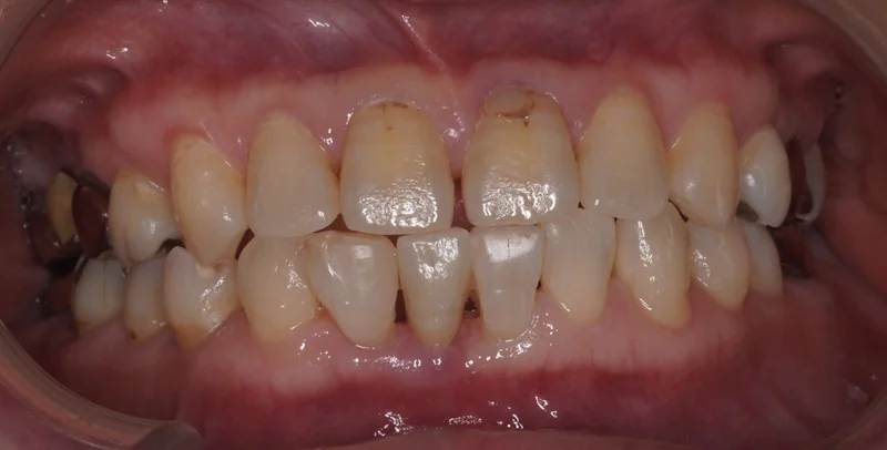
クラウンレングスニング(歯冠長延長術)の症例
Case01
Before

After

| 治療内容 | クラウンレングスニング(歯冠長延長術) |
|---|---|
| 治療説明 | 歯の摩耗や虫歯によって歯冠が短くなり、被せ物を安定して装着するのが難しい状態でした。 クラウンレングスニング(歯冠長延長術)を行い、歯肉と骨を整えて必要な歯の長さを確保。 |
| 治療回数・期間 | 只今準備中です。 |
| 副作用とリスク | ・手術後に腫れや出血、違和感が一時的に出る場合があります。 ・歯肉が下がることにより、見た目に変化が出ることがあります。 ・一時的な知覚過敏が生じることがあります。 ・術後の適切なブラッシングとメインテナンスが必要です。 |
| 料金(税込) | クラウンレングスニング:33,000円(税込) 補綴費用:別途(症例により異なります) |
インプラントの症例
Case01
Before

After

| 治療内容 | 上顎インプラント(3本) + 上顎全顎ジルコニア補綴 + 下顎部分入れ歯 |
|---|---|
| 治療説明 | 歯の欠損や被せ物の劣化によって噛みにくさや見た目のお悩みがあり、上顎にはインプラントを3本埋入し、全体をジルコニアの被せ物で補綴しました。下顎には安定性と審美性を両立させた部分入れ歯を設計し、全体の咬合バランスを再構築しています。見た目の自然さに加え、しっかり噛める機能性も取り戻しています。 |
| 治療回数・期間 | 約1年 (インプラント治癒期間を含む) |
| 副作用とリスク | ・インプラント手術には、腫れ・痛み・神経損傷・感染などのリスクがあります。 ・ジルコニア補綴は非常に丈夫ですが、過度な力がかかると破損することがあります。 ・義歯は慣れるまで違和感を感じることがあり、調整が必要になる場合もあります。 ・治療後は定期的なメインテナンスが必要です。 |
| 料金(税込) | 2,310,000円(税込) |
| 適応 | 広範囲の欠損と審美・機能回復を希望される方 |
Case02
Before

After

| 治療内容 | インプラント1本埋入 インプラント埋入+上部構造(ジルコニアクラウン) |
|---|---|
| 治療説明 | 歯を失った部分にチタン製のインプラント体を顎の骨に埋入し、セラミック製の人工歯を装着しました。 周囲の歯を削る必要がなく、天然歯に近い見た目と噛み心地を再現できる治療です。 CTによる精密診断と3Dシミュレーションを活用し、安全性と確実性の高い手術を行っています。 また、当院では米国補綴専門医(アメリカ補綴学会会員)が治療を担当しており、インプラントの専門的な知識と技術に基づいた診査・設計・埋入・補綴まで一貫して対応しております。安心して治療をお受けいただけます。 |
| 治療回数・期間 | 4ヶ月 |
| 副作用とリスク | ・手術により腫れ・痛み・出血・内出血・感染などのリスクがあります。 ・インプラントが骨と結合しない場合、再手術が必要になる可能性があります。 ・歯ぎしり・食いしばりが強い方は、上部構造(人工歯)が割れることがあります。 ・メインテナンスが不十分だと、【インプラント周囲炎(インプラントの歯周病)】になるリスクがあります。 |
| 料金(税込) | 528,000円(税込) (検査・CT診断・仮歯などは別途) |
Case03
Before

After

| 治療内容 | ・上顎にインプラントを6本埋入し、残っている歯4本も活かしたかぶせ物治療 ・下顎は、丈夫さを重視して「金属(ゴールド)」と「セラミック」を組み合わせたかぶせ物で治療 |
|---|---|
| 治療説明 | 【治療のポイント】 この患者さまは、歯ぎしりが強く、噛む力も非常に強い方でした。 そのため、治療後に「また壊れる」ことがないように、見た目よりもとにかく丈夫さと長持ちを重視しました。 特に下あごには、昔から信頼されている「金属(ゴールド)」の材料を使うことで、割れにくく、すり減りにくい設計にしています。見た目が気になるところには、白いセラミックを組み合わせて、しっかり噛めるだけでなく、自然な見た目も両立させました。 |
| 治療回数・期間 | 約1年半 |
| 副作用とリスク | ・インプラント手術には、出血や腫れ、まれに感染のリスクがあります。 ・治療費は保険適用外のため、自費診療となります。 ・ゴールドは丈夫ですが、見た目の印象が金属らしく感じられる場合があります。 ・治療後は、定期的なメンテナンスを受けることで、より長く快適に使えます。 |
| 料金(税込) | 4,340,000円(税込) |
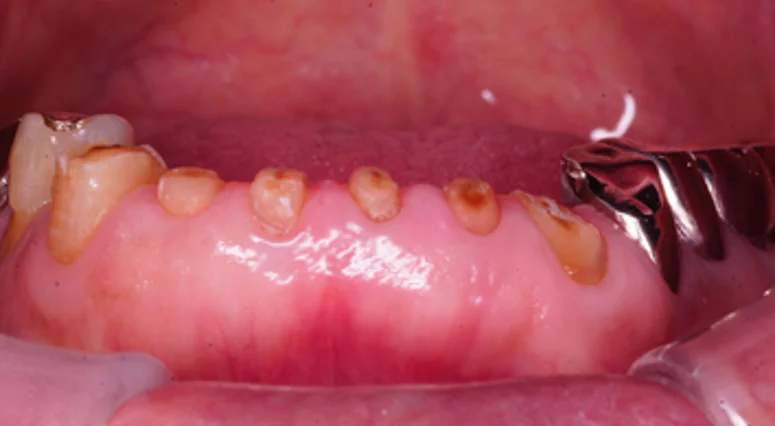
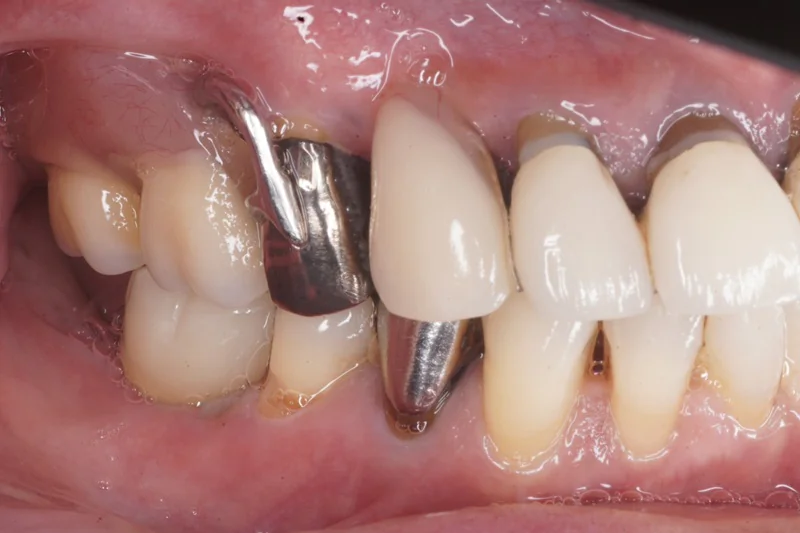
Case04
Before

After

| 治療内容 | 下顎インプラント+上顎部分床義歯による機能・見た目の回復 |
|---|---|
| 治療説明 | 下顎の奥歯(臼歯部)にインプラント1本を埋入し、上顎の欠損部には金属床付きの部分床義歯を装着した症例です。 |
| 治療のポイント | ご予算とお口の状態をふまえ、見た目・機能・快適さのバランスに配慮した治療プランを選択しました。 下顎のインプラントでしっかりと噛めるようにし、上顎の部分入れ歯はワイヤーが目立ちにくい設計とし、快適さと自然な見た目を両立しました。 費用を抑えながらも、患者さまにとって最善の組み合わせをご提案した症例です。 患者さまも違和感の少なさに満足されていました。 |
| 治療回数・期間 | 約5カ月間/通院約10回 |
| 使用材料 |
下顎:チタン製インプラント+ジルコニアクラウン |
| 副作用とリスク |
インプラント治療: 部分床義歯: |
| 料金(税込) | インプラント治療:502,800円(税込) 部分床義歯:440,000円(税込) 合計:942,800円(税込) |
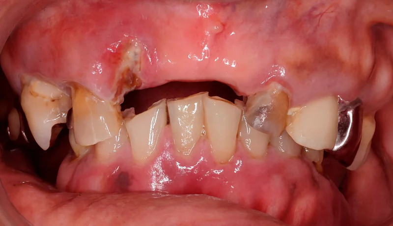
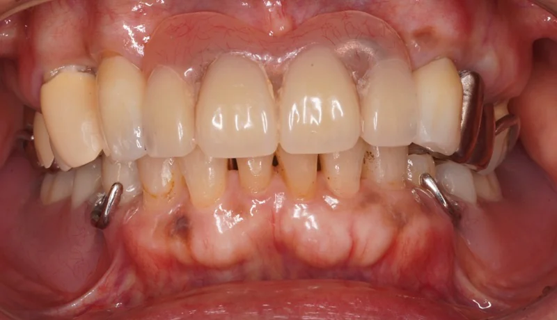
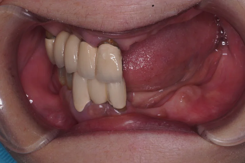
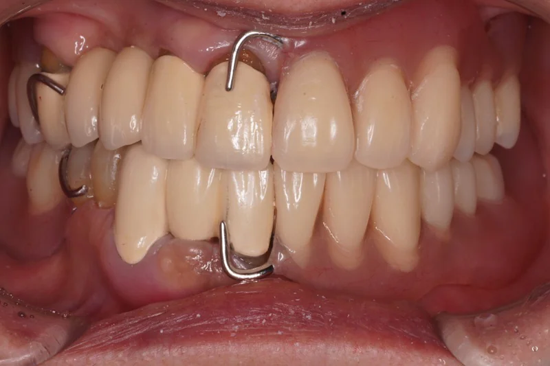
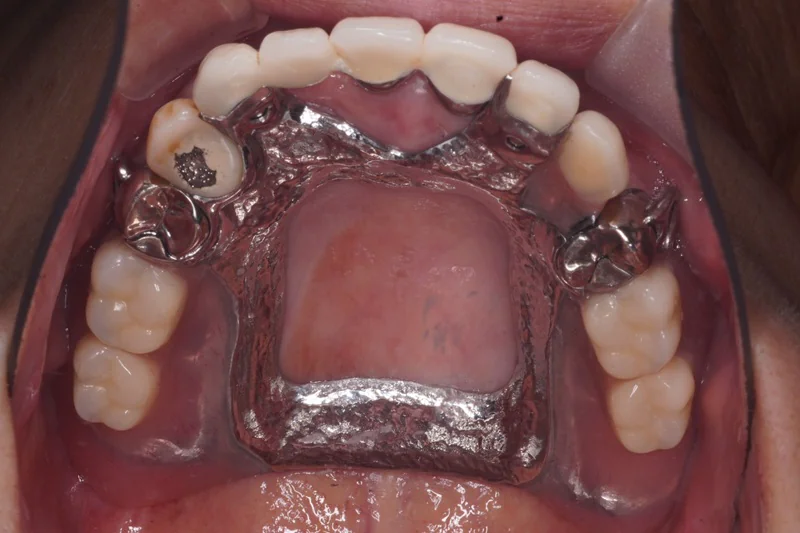
入れ歯の症例
Case01
Before

After

| 治療内容 | ・上下顎:部分床義歯(部分入れ歯) ・一部の歯にクラウン処置を行い、入れ歯の適切なスペースを確保 ・見た目に配慮した設計(ワイヤーが目立たない設計) |
|---|---|
| 治療説明 | 本症例では、上下の咬合スペース(歯を入れる空間)がほとんどない非常に難しいケースでした。歯の挺出や欠損位置の関係で、通常の入れ歯設計では審美的・機能的回復が困難でした。 そこで、クラウン処置を最小限にとどめながらも、入れ歯の設計に必要なスペースを確保。さらに、入れ歯の金属ワイヤーが見えないように設計することで、自然な見た目と快適な咀嚼機能の両立を実現しました。 |
| 治療回数・期間 | 6~8ヶ月 |
| 副作用とリスク | ・入れ歯に慣れるまで、違和感・痛み・発音しづらさを感じる場合があります。 ・クラウンを装着した歯は、清掃不良や過大な力により脱離・破損のリスクがあります。 ・部分義歯は適合性や清掃状態が悪いと虫歯や歯周病を進行させる恐れがあるため、定期的なメインテナンスが不可欠です。 |
| 料金(税込) | 966,900円(税込) |
Case02
Before

During

After

| 治療内容 | ・上下の部分床義歯による審美性・機能性の改善 ・上下の部分床義歯(金属床義歯) |
|---|---|
| 治療説明 | 「見た目が気になる」「しっかり噛めない」「話しづらい」などの悩みをお持ちだった患者さまが、既存の入れ歯に満足できずにご来院されました。審美性・機能性・快適性をバランスよく改善するため、上下ともに新しい部分床義歯による治療を選択されました。 |
| 当院での治療ポイント |
・噛み合わせを再設計し、しっかり噛める入れ歯を製作 |
| 治療回数・期間 | ・治療期間:約1~2ヶ月(個人差あり) ・通院回数:5〜8回程度 |
| 副作用とリスク | ・慣れるまでに異物感がある場合があります ・調整や適応にやや時間がかかることがあります ・義歯は取り外し式のため、適切なセルフケアと定期的な調整が必要です |
| 料金(税込) | 880,000円(税込) |
Case03
Before

During

After

| 治療内容 | 上顎部分床義歯(見た目と快適性を両立した設計) ・上顎部分床義歯 |
|---|---|
| 治療説明 | 既存の義歯の見た目や装着感に不満を抱えて来院された患者さまに対し、上顎部分床義歯を新たに作製しました。 ワイヤーが目立ちにくいよう審美性に配慮した設計とし、入れ歯特有の違和感を少しでも軽減するために口蓋部(天井)を部分的に抜いた構造としています。 強度とのバランスも保ちつつ、快適な食生活のサポートを目的に製作しました。 |
| 当院での治療ポイント |
・噛み合わせを再設計し、しっかり噛める入れ歯を製作 |
| 治療回数・期間 | ・治療期間:約2ヶ月 ・通院回数:約5回の通院 |
| 副作用とリスク | ・装着初期には若干の違和感があることがあります。 ・慣れるまで調整が必要な場合があります。 ・定期的なメインテナンスが必要です |
| 料金(税込) | 440,000円(税込) |




